

Teeth in a Day
Failing Teeth?
Are your remaining teeth failing and coming to the end of their lifespan?
Denture Concerns?
Are you concerned about having to wear dentures when the teeth go?
The good news is that dental implants can be used to replace a full arch of teeth.
For those whose teeth are on their last legs, we can provide implant supported fixed teeth, often from the word go, avoiding the need for dentures at all.
The Teeth in a Day technique enables patients to walk out with a brand new smile after just one appointment.
Using advanced implant technology, provisional prosthetic teeth are securely placed on the same day as the implant procedure, eliminating the long waiting period associated with traditional implants.
Using advanced implant technology, provisional prosthetic teeth are securely placed on the same day as the implant procedure, eliminating the long waiting period associated with traditional implants.

Benefits of Teeth in a Day
.png)
Instant Results
Leave our practice with a new, confident smile the same day.
.png)
Minimized Downtime
No extended waiting period before getting functional teeth.
.png)
Enhanced Comfort & Stability
Fixed in place, eliminating the discomfort of dentures.
.png)
Preserves Jawbone Health
Prevents bone loss and maintains facial structure.
Here at Northern Cross Dental Implants, we take great satisfaction in transforming someone’s smile from failing, unsightly and damaged teeth and gums to a stable, comfortable arch of teeth which gives you a beautiful natural smile.
What's our patients say.
Every case is personal, and every result is something to be proud of. See real before & after photos from our patients and hear their stories in their own words.
Before & After
Real patient before-and-after results showing life-changing smiles, improved comfort, confidence, and long-lasting outcomes.
Recent Implant Patients
Upper Full Arch Solutions info

















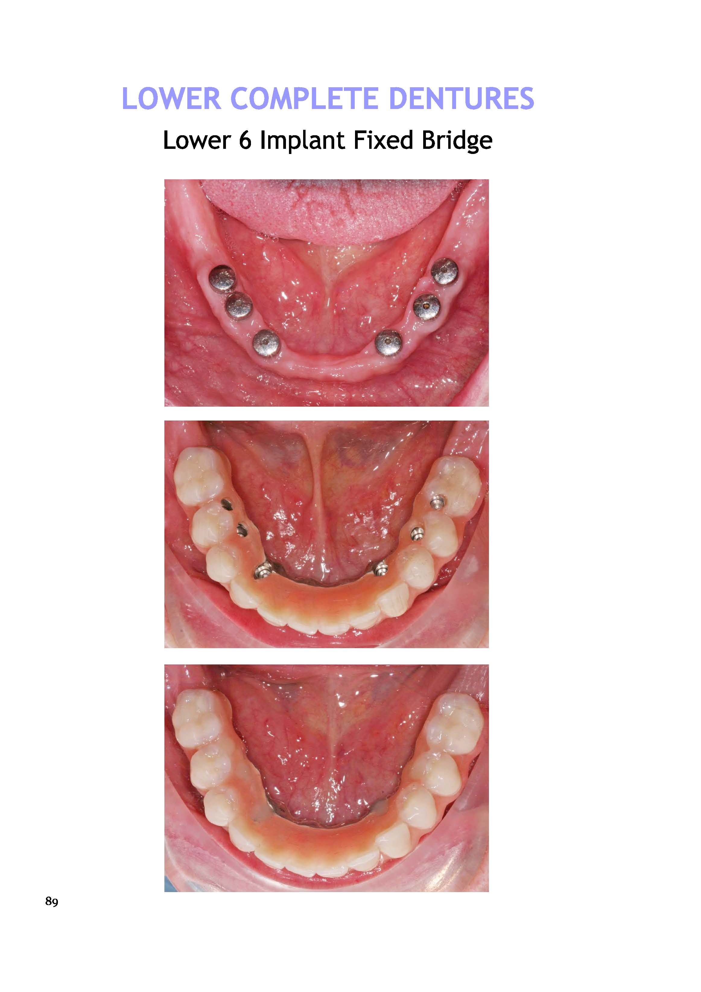
Lower Full Arch Solutions info














Need results fast?
"Teeth in a Day" delivers lasting impact without the wait. Let’s explore what’s right for you.